Fogfehérítés
Az embereket a legrégibb időktől foglalkoztatja a foguk színe. A különböző kultúrákban más és más volt a szépségideál. A japán gésák például feketére festették a fogaikat. Ma egyre nagyobb az igény a fehér, szabályos fogak iránt és ennek az elérésére meg is vannak a megfelelő, biztonságos módszereink.
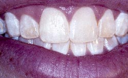
A fogak elszíneződése egy életen keresztül folyamatosan alakul ki. Vannak külső és belső elszíneződések.
Az oki tényezők ennek megfelelően igen változatosak lehetnek: dohányzás, fogkő, tea, kávé, gyógyszerek, fejlődési rendellenességek stb.
Az elszíneződések kezelése fogorvosi feladat. Pontosan a különböző oki tényezők, a már meglevő fogazati elváltozások figyelembevételének szükségessége teszi nélkülözhetetlenné egy jól felkészült szakember segítségét.
A fogfehérítési módszerek igen változatosak, fogkő-eltávolítás, polírozás, mikroabrázió, kémiai fogfehérítés stb.
Kémiai fogfehérítés
Lényegében egy oxidációs folyamat, amelynek során a nagy molekulájú festékanyagokat apróbb, színtelen molekulákra darabolják a szabad gyökök. Az oxidáló szer ezekben az esetekben a hidrogén-peroxid (H2O2).
A klinikai gyakorlatban különböző koncentrációjú hidrogén-peroxidot vagy karbamid-peroxidot használunk az esetnek megfelelően. A különböző eljárások a hatóanyag koncentrációjában ill. a behatási idő hosszában különböznek egymástól. Vannak lehetőségek a reakció hővel, fénnyel, lézerrel történő felgyorsítására is.
Rendelőnkben alkalmazott fogfehérítő eljárások:
Fogkőeltávolítás, polírozás - külső elszíneződések esetén ajánlott. Bővebben>>
Mikroabrázió - az amerikai Ultradent cég Opalustre® nevű készítményét használjuk, amely kémiai és mechanikai úton, a fogzománc felületi rétegének ellenőrzött eltávolítására ad lehetőséget.

Fluorozis és egyéb fehéres vagy barnás zománcdefektusok kezelésére használjuk azokban az esetekben, amikor az elszíneződés felülete nem haladja meg a 0,2 mm mélységet. Használatát követően a természetes zománchoz hasonló fényes felszín alakul ki a fogon.
Kémiai fogfehérítés
Fogorvos által ellenőrzött otthoni nappali fogfehérítés
- TréswhiteTM Opalescence®
elnevezésű 9% hidrogén-peroxiddal előre megtöltött és ínyvédelemmel ellátott
egyszer használatos vékony műanyag sínt használjuk.
Használata egyszerű, dinnye és mentol ízesítéssel készült.
Használata: napi egy óra 10 napon keresztül.
Fogorvos által ellenőrzött otthoni éjszakai fogfehérítés - Opalescence®
nevű 10%, 15%, 20%-os karbamid-peroxid zselét használunk egyéni,
méretre gyártott műanyag sínnel.
A zselé használata elősegíti a maradó
fogakon eredendően jelenlevő ill. a kor előrehaladtával megjelenő
elszíneződések (tea, kávé, gyógyszer stb. okozta) eltávolítását.
Élő és gyökérkezelt fogak fehérítésére egyaránt alkalmas.
Mentol, semleges és dinnyés ízben kapható.
Használata: napi 8-10 óra, 6-7 napon keresztül.
Várótermi fogfehérítés - 35%-os karbamid-peroxid tartalmú zselé.

Egyéni méretre gyártott fogsín segítségével, kizárólag fogorvosi rendelőben használható.
A ragadós zselé a fogfelszínhez tapadva az erre a célra kialakított
fogsín segítségével a helyén marad. Két órás kezelés Opalescence®
Quick®-kel hat órás 10%-os otthoni fehérítéssel egyenértékű.
Rendelői fogfehérítés - Opalescence® Xtra® 35% vagy 38%-os hidrogén-peroxid zselével történik, kémiai úton

vagy fény által aktiválva.
Természetes karotint tartalmaz, amely
elősegíti a lámpa fényenergiájának hővé
alakulását. A zselé 28%-os víztartalma csökkenti a fog dehidratációját.
A kezelés időtartalma kevesebb, mint
1 óra.
A gyökérkezelt fogak fehérítése
- Opalescence® Endo® 35%-os hidrogén-peroxiddal történik.
A régi tömés eltávolítása után a fogba helyezendő 3-5 napra, szükség esetén többször megismételhető.
A kezelés végén új tömés elkészítése szükséges.
A gyökérkezelt fogak esetén a rendelői fogfehérítés is használható.
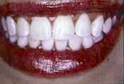
A fogfehérítés ma szakszerű kezelés esetén teljes biztonsággal alkalmazható. Az esetleg előforduló fogérzékenység vagy az íny enyhe irritációja a kezelés szüneteltetésével és érzékenységet csökkentő gyógyszerekkel könnyen megszüntethető.
Lámpás fogfehérítés a Dental Stúdióban!

Villámgyors eredmény a Whitedent® Plus fogfehérítő lámpával akár 30 perc alatt!
A Whitedent Plus a BMS Dental új fejlesztése a fogak (cyanic-típusú) elszíneződéseinek eltávolítására. Praktikus és ergonómikus felépítésű: hat lámpája és a 3 ponton állítható tartókar segítségével a pozicionálás egyszerű. A fehérítés 38%-os fehérítő gél (BMS White 38%) segítségével történik. Az aktív összetevő a fény hatására oxigénre és vízre bomlik le.
Ezzel az eljárással fájdalommentesen, mindössze 30 perc alatt ragyogó fehérré varázsoljuk fogsorát.