
Az éjszakai fogszorítás egyéb tünetei:
- fáradt ébredés, levertség
- nyakfájás
- hátfájás
- derékfájás
- reggeli fejfájás
- karzsibbadás
- fülzúgás
- arcüreg fájdalmak
- fogkopás
- a rágóizomzat fájdalmassága
- az izület kattogása
- szájnyitási korlátozottság
A fogszorítás mozgásos formája a csikorgatás, mely a rágóizületi elváltozások egy részét hozza létre. A csikorgatás közben dolgozó rágóizmok hatást gyakorolnak a hallócsontot feszítő izomra, mely kölcsönhatás fülzúgást idézhet elő.
A fülzúgás javulhat, ha:
- a beteg fiatal
- az állapot enyhe
- a hallás nem romlott
- a fülzúgás stressze esetében rosszabbodik
- NEM rosszabbodik hangos zajra
Az arcüreg tájára kivetülő ismeretlen eredetű fájdalmak hátterében is gyakran az éjszakai fogszorítás áll.

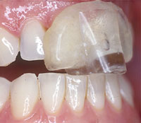
Az NTI-tss természeténél fogva hatékony segítséget nyújt a fent említett problémák orvoslásában.
A készülék igen kis méreténél fogva éjszakára könnyen felpattintható, reggel pedig eltávolítható. Mind a felső, mind pedig az alsó fogíven alkalmazható.
Működési elve azon alapul, hogy a fogakat ért koccanások szájnyitó reflexeket váltanak ki, melyek azonban a szemfogaktól hátra szorító reflexekre vonatkozóan nem működnek.
Ha azonban az egyetlen kapcsolat az alsó és a felső fogívek között egy kemény, kis felületű tárgy, amely csupán a frontfogak között teremt fizikai kapcsolatot, akkor a reflexek kiváltódhatnak és szorítás helyett reflexes rágóizom ellazulás jön létre.
A készülék használati ideje egyénfüggő. Van, akinél hónapok alatt megszünteti a fogszorítást, néhány esetben viszont nem szabad megszakítani a viselést.
Az NTI-tss viselése nem okoz gondot, nem hat zavaróan. Az esetek 20%-ánál a viselés kezdeténél hányinger jelentkezhet, ami azonban napokon belül elmúlik.
Használata biztonságos, a szakszerűen felhelyezett készülék hallható kattanással illeszkedik a helyére, amely azután sem nyelvvel, sem pedig az ajak mozgatásával, kizárólag kézzel távolítható el.
A készülék használatának káros mellékhatásai nem ismertek, viselése során a fogak helyzete nem változik.