Wir machen Sie darauf aufmerksam, dass das volle Bildmaterial die Arbeit unserer Praxis ist, was einen wesentlichen geistlichen Wert vertritt. Die Aufwendung der Bilder ausser dieses Website ist nur mit unserer schriftlichen Genehmigung möglich!
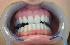
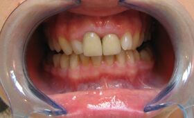
Bleichen:
|
|
 |
<< vor Behandlung nach >>
|
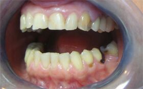
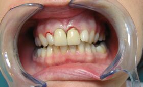
Bleichen des wurzelbehandelten links oberen Eckzahnes:
|
 |
 |
| |
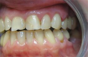
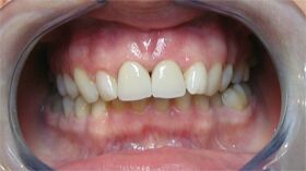
Verklebung eines abgebrochenen Zahnes:
|
 |
 |
<< vor Behandlung nach>> |
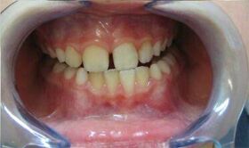
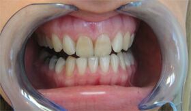
Komplexe ästhetische Korrektion
|
 |
 |
<< vor Zahnfleischkontur nach >>
|
Das Endergebnis. Sunrise Porzelankronen:
|
 |
 |
|