Please note that the images presented on this page are the property of our praxis. The pictures cannot be used or published without written permission.
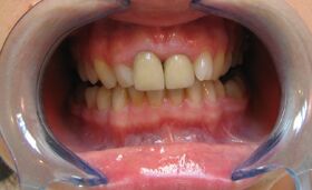
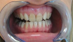
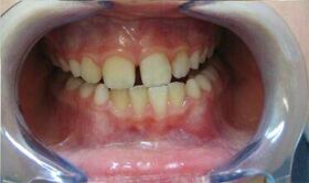
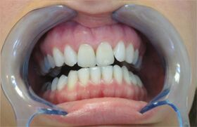
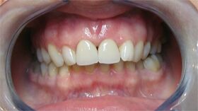
before » after